Say rượu bị mất chìa khóa, tỉnh dậy tìm thấy ở nơi không ai ngờ

sao sao sao sao sao
Vận tải 10/06/2019 18:37

Hiện tại, tình hình sức khỏe của người đàn ông đang dần phục hồi. Nhưng tai nạn hy hữu này khiến nhiều người không khỏi bất ngờ và cảnh báo mọi người nên cẩn thận khi say rượu để tránh gặp phải tình trạng tương tự.

 

photo-1-15601445919011620599237
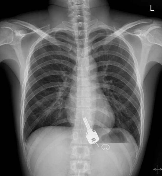
Hình ảnh X-quang cho thấy chìa khóa nằm gọn trong dạ dày của anh Thường.

Gần đây, một người đàn ông 26 tuổi họ Thường sống ở Đông Quan, Quảng Tây vừa trải qua một tai nạn hy hữu sau một cơn say.

Được biết, anh Thường sau khi uống rượu say đã về nhà vào nửa đêm và phát hiện bị mất chìa khóa xe và thẻ từ vào nhà. Sáng hôm sau, khi tỉnh dậy, anh Thường cảm thấy bị đau ở ngực và cơn đau đó tăng thêm từng giờ. Cuối cùng, anh đã được người nhà đưa vào bệnh viện để cấp cứu.

Kết quả kiểm tra cho thấy, nguyên nhân khiến anh Thường bị đau vì phát hiện trong dạ dày có 1 chìa khóa, 2 vòng sắt và 1 thẻ từ. Cuối cùng, thông qua nội soi dạ dày không đau, bác sĩ đã giúp anh Thường lấy những vật đó ra thành công.

Theo báo Tân Hoa Xã, anh Thường nói rằng không nhớ làm sao mình có thể nuốt được chìa khóa vào trong bụng. Tối hôm đó, anh trở về nhà không tìm thấy chìa khóa và nghĩ rằng chắc là bị rơi ở dọc đường, không hề quan tâm đến trường hợp khác và không bao giờ nghĩ rằng nó đang ở trong bụng mình.

Về việc làm sao lấy được vật dụng bằng kim loại kia ra khỏi bụng của anh Thường, bác sĩ Trương Dung Vũ, làm việc ở khoa tiêu hóa bệnh viện Nhân dân Đông Quan cho biết, lúc đầu bác sĩ xem xét và nhận thấy sẽ gặp một ít khó khăn khi lấy chìa khóa ra. Bởi vì chìa khóa không có góc nhọn và sẽ không gây thiệt hại cho đường tiêu hóa quá lớn. Tuy nhiên, nhưng khi nội soi kỹ càng hơn thì phát hiện chìa khóa bị mắc kẹt ở lối vào của thực quản gần cổ họng. Nếu như bị buộc phải lấy ra thì thực quản sẽ bị rách.

Bác sĩ Trương cho biết, nếu như không thể loại bỏ nó dưới ống soi dạ dày thì chỉ còn 2 cách. Một là để bệnh nhân tự lấy bằng đường bài tiết, nhưng do chìa khóa quá lớn và khả năng từ khoang dạ dày đến ruột quá nhỏ sẽ dẫn đến việc gây tắc nghẽn đường ruột. Hai là phải thực hiện phẫu thuật mở. May mắn thay, bác sĩ đã nhanh chóng nghĩ ra một phương pháp khác là đưa ống soi dạ dày không đau vào người. Dưới sự gây mê, các cơ ở lối vào thực quản giãn ra và cuối cùng chìa khóa đã được lấy một cách an toàn.

Ý kiến của bạn

Bình luận

TP.HCM: Metro số 1 miễn phí vé và tăng cường chuyến phục vụ hành khách cao điểm Tết Nguyên đán 2026

TP.HCM: Metro số 1 miễn phí vé và tăng cường chuyến phục vụ hành khách cao điểm Tết Nguyên đán 2026

Trong 2 ngày 29 tháng Chạp năm Ất Tỵ và Mùng 1 Tết Bính Ngọ, toàn bộ hành khách đi tàu tuyến metro số 1 (Bến Thành - Suối Tiên) sẽ được miễn phí 100% giá vé.

Vận tải
Hà Nội: Tăng cường tuyến buýt phục vụ Hội chợ Quốc gia mùa Xuân

Hà Nội: Tăng cường tuyến buýt phục vụ Hội chợ Quốc gia mùa Xuân

Trung tâm Quản lý và Điều hành giao thông thành phố Hà Nội triển khai Phương án tăng cường tuyến buýt phục vụ nhân dân, du khách tham gia Hội chợ Quốc gia mùa Xuân 2026 tại Trung tâm Triển lãm Việt Nam.

Vận tải
Mua vé máy bay Tết Bính Ngọ: Làm thế nào để tránh rủi ro mua phải vé giả, vé bị nâng giá?

Mua vé máy bay Tết Bính Ngọ: Làm thế nào để tránh rủi ro mua phải vé giả, vé bị nâng giá?

Lợi dụng nhu cầu đi lại tăng cao dịp cao điểm Tết Bính Ngọ 2026, các đối tượng xấu thường lợi dụng tâm lý khan hiếm vé để rao bán vé giá rẻ trên mạng xã hội, kèm theo cam kết giờ bay thuận tiện hoặc hình ảnh giao dịch giả nhằm tạo lòng tin.

Vận tải
Ga Huế rộn ràng chương trình “Tết sum vầy - Xuân ơn Đảng” 2026

Ga Huế rộn ràng chương trình “Tết sum vầy - Xuân ơn Đảng” 2026

Công đoàn Công ty CP Đường sắt Bình Trị Thiên cho biết, ngày 30/01/2026 tại khu ga Huế, trong không khí phấn khởi của những ngày giáp Tết Nguyên đán Bính Ngọ 2026, Tổng công ty Đường sắt Việt Nam (VNR) đã phối hợp với Công đoàn Đường sắt Việt Nam và các đơn vị trong khu vực tổ chức Chương trình “Tết sum vầy - Xuân ơn Đảng” mang nhiều ý nghĩa thiết thực.

Vận tải
Nhiều đường bay từ TP. HCM có tỷ lệ đặt chỗ đạt 100% vào các ngày cận Tết

Nhiều đường bay từ TP. HCM có tỷ lệ đặt chỗ đạt 100% vào các ngày cận Tết

Tỷ lệ đặt chỗ trên nhiều đường bay đang tiến sát mức tối đa, phổ biến trên 90%, thậm chí đạt 100% vào các ngày cao điểm cận Tết, nhất là các đường bay xuất phát từ TP. HCM đi các địa phương miền Trung.

Vận tải
Tăng cường kiểm soát, phòng chống bệnh do virus Nipah tại các cảng hàng không, sân bay

Tăng cường kiểm soát, phòng chống bệnh do virus Nipah tại các cảng hàng không, sân bay

Cục Hàng không Việt Nam vừa phát hành văn bản gửi các đơn vị, doanh nghiệp trong ngành hàng không tăng cường kiểm tra, kiểm soát, siết chặt kỷ cương trong công tác phòng chống bệnh virus Nipah tại các cảng hàng không, sân bay.

Vận tải